邵逸夫医院谈伟强团队发表系列成果阐述ACE类降压药的抗瘢痕作用
二甲双胍是治疗2型糖尿病的“权威”用药,是目前应用最为广范的降糖药物之一。近些年随着对二甲双胍研究的深入,该药物被发现还可能有“减重”“抗癌”“延缓衰老”等神奇功效。同样是经典药物的二次开发,银河线路检测中心附属邵逸夫医院整形外科谈伟强团队阐明了ACE(血管紧张素转换酶)类降压药不仅能降低血压,还能抑制瘢痕形成。这里所说的ACE类降压药指ACEI(血管紧张素转化酶抑制剂,如雷米普利)和ARB(血管紧张素II受体拮抗剂,如氯沙坦)。
皮肤瘢痕是各种创伤引起的正常皮肤组织的外观形态和组织病理学改变的统称。瘢痕尤其是增生性瘢痕和瘢痕疙瘩,不仅破坏美观,还妨碍了相关组织或器官的生理功能,甚至导致畸形和功能障碍,严重影响患者的身心健康。目前在临床上瘢痕的治疗多采用手术切除、植皮、放疗、激光、瘢痕内激素治疗等方法,但疗效均不理想[1, 2]。研究瘢痕的形成、发展和转化不仅仅对解决创面愈合的后遗症有重大意义,而且能够加深人们对人体一系列纤维化疾病(如心肌重塑、肝硬化、肾萎缩等)的认识。
近年对肾素-血管紧张素系统(renin-angiotensin system,RAS)的研究发现:局部RAS可通过促进细胞增殖和细胞外基质的合成参与多种组织器官纤维化(包括皮肤瘢痕)的形成。来源于肝脏的血管紧张素原,在肾素的作用下转化为Ang I (angiotensin I,血管紧张素I),Ang I在ACE(angiotensin-converting enzyme,血管紧张素转换酶)的作用下转化为Ang II (angiotensin II,血管紧张素II),Ang II通过血液循环分泌到靶组织,与I型受体结合,引起醛固酮释放和血管收缩等生理效应,调节机体的血压及血流变化,维持机体血容量和水电解质平衡[3]。国内外不断有学者在心脏、血管壁、肾脏、脂肪、脑部及皮肤等局部组织发现有RAS的表达;局部RAS是独立作用,但又与循环RAS相互影响,共同参与多种病理生理过程[4]。目前的研究已扩展了人们对RAS 作用的认识:RAS影响细胞增殖和炎症反应,而非仅仅是控制血压;组织纤维化与局部RAS 的激活有关;AngⅡ在心、肾、肺及肝等组织器官的纤维化过程中起到了重要作用,其机制与TGF-β 的信号传导的Smad 通路和/或TAK1 通路有关[5-7]。
但是,既往关于RAS和瘢痕相关性的研究比较零散,没有系统研究研究ACE和Ang II的效应,更没有阐明ACEI和ARB能否用于瘢痕治疗。
ACEI通过下调Smad和TAK1通路发挥瘢痕形成抑制剂的作用
2018年8月28日,谈伟强为第一和通讯作者的论文“Angiotensin-converting enzyme inhibitor works as a scar formation inhibitor by downregulating Smad and TAK1 pathways in mice”在老牌药物学杂志“Br J Pharmacol”在线发表(署名单位依次为浙医邵院、浙医四院和美国洛杉Cedar-Sinai医学中心),阐述了ACEI和ARB改善瘢痕的效果及其内在机制(图1)。

图1 小鼠全层皮肤缺损的瘢痕(Br J Pharmacol)
A) 小鼠瘢痕模型的制作。B)5组小鼠的创面/瘢痕宽度(游标卡尺测量),“*”为与空白组比较时差异有显著性意义(P<0.05);其中,“KO”、“Ramipril”、“Losartan”、和“Hydralazine”和“Blank”依次为“ACE基因敲除”、“雷米普利”、“氯沙坦”、“肼苯哒嗪”(非ACE类降压药)和“空白组”。C)术后14天时的瘢痕情况,“K”、“R”、“L”、“H”和“B” 依次为“ACE基因敲除”、“雷米普利”、“氯沙坦”、“肼苯哒嗪”和“空白组”。
ACE是肾素-血管紧张素系统的重要组成部分,参与刺激心脏、肺、肝脏和肾脏的纤维化过程,而ACEI促进这些器官的生理性组织修复。其作用机制与转化生长因子-β1(TGF-β1)通路密切相关。然而,ACEI在瘢痕形成中的应用报道很少,本研究的目的正是为了探讨其在小鼠瘢痕模型中的抗纤维化作用和分子细节。在动物实验中,小鼠背部造成一矩形的全层皮肤缺损后,野生型小鼠(WT)被随机分配口服雷米普利、氯沙坦或肼苯哒嗪,ACE敲除(KO)和阴性对照小鼠只接受饮用水。用游标卡尺记录创面愈合过程中创面/瘢痕宽度,术后14天取标本行组织学等检查。同时,在体外采用ACE KO和WT细胞评价ACEI通过TGF-β1信号通路减轻纤维化的作用。结果发现:ACE KO小鼠以及服用雷米普利、氯沙坦的小鼠瘢痕宽度变小,成纤维细胞增殖降低,胶原和TGF-β1表达减少。雷米普利在体内、体外均能抑制小鼠对Smad2/3和TGF-β活化激酶1(TAK1)的磷酸化。ACE相关活性肽的表达在不同药物治疗的小鼠模型中表达量也不同。ACEI使AngⅡ(血管紧张素II)减少,AcSDKP(N-乙酰基-丝氨酰-天门冬酰-赖氨酰-脯氨酸)、Ang 1-7(血管紧张素-(1-7))和SP(P物资)由于缺乏ACE的降解均增多。以上实验结果说明:ACEI通过调控其下游的活性肽来抑制TGF-β1/Smad和TGF-β1/TAK1通路,从而在瘢痕形成中起到抗纤维化的作用。这些发现提示ACEI对Smad和TAK1信号传导的双重抑制是开发新型抗瘢痕药物的有效策略。
辨别ACE的来源
上述论文只是论证了ACE确实影响瘢痕形成,抑制它则可以改善瘢痕,但是ACE究竟来源于炎症细胞还是局部皮肤组织?并不清楚!这不仅是机制问题,还是一个很现实的问题:如果来源于炎症细胞,则应当全身用药为主;如果来源于局部皮肤,则应当局部用药为主;如果来源于两者,则全身和局部用药都有效。
2018年8月31日,谈伟强为通讯作者的论文,“The source of ACE during scar formation is from both bone marrow and skin tissue”在老牌生物学杂志“FASEB J”正式发表(2018 Sep; 32(9): 5199-5208,署名单位依次为浙医一院、浙医邵院和浙医四院),该研究采用了骨髓移植的方法,运用了3种基因修饰小鼠和大量流式细胞仪技术,证明了ACE同时来源于炎症细胞(图2)和局部皮肤组织(图3)。这具有重要的价值:说明全身和局部用药都有效;当然,既然局部用药有效,就尽量不要全身用药,因为全身用药可能带来血压下降等副作用。

图2炎症细胞缺乏ACE对小鼠瘢痕形成的影响(FASEB J)
A) 三组小鼠伤口/瘢痕宽度(游标卡尺测量)的统计分析。“*”为与“WT to C57”组比较时的差异有显著性意义(P<0.05)。B)术后16天的瘢痕大体情况。C)术后16天小鼠瘢痕的组织学切片(HE染色)。K,KO to C57:ACE 基因敲除小鼠的骨髓移植到普通小鼠;10,ACE 10 to C57:ACE过表达小鼠的骨髓移植到普通小鼠;B,ACE WT to C57组:正常小鼠的骨髓移植到普通小鼠。骨髓移植2月后,以上3组小组皮肤中有正常量ACE,炎症细胞分别为无ACE、过量ACE和正常量ACE。实验结果为K组瘢痕明显改善,其余两组相差不大。

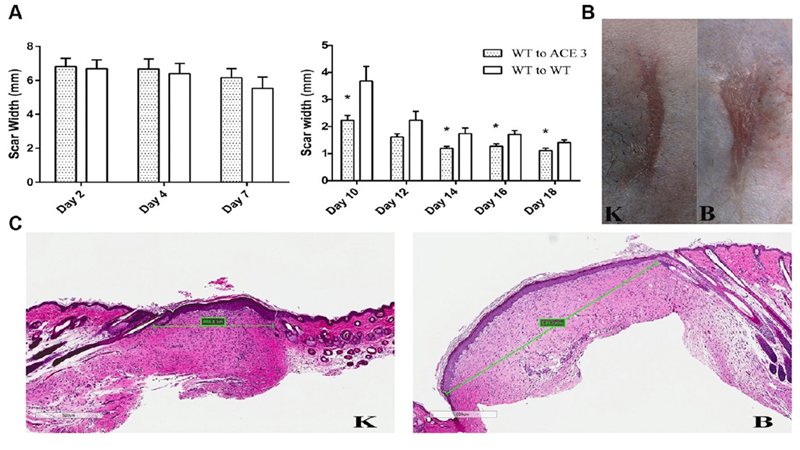
图3局部皮肤缺乏ACE对小鼠瘢痕形成的影响(FASEB J)
A) 两组小鼠伤口/瘢痕宽度(游标卡尺测量)的统计分析。“*”为与“WT to WT”组比较时的差异有显著性意义(P<0.05)。B)术后16天的瘢痕大体情况。C)术后16天小鼠瘢痕的组织学切片(HE染色)。ACE 3为ACE基因敲除但白蛋白位点表达ACE的基因修饰小鼠,特点是皮肤中无ACE,血液中含有正常量ACE。K,WT to ACE 3:普通小鼠的骨髓移植到皮肤中没有ACE的小鼠;B,WT to WT:正常小鼠的骨髓移植到普通小鼠。骨髓移植2月后,以上2组炎症细胞中有正常量ACE,皮肤分别为无ACE和正常量ACE。实验结果为K组瘢痕明显改善。
本实验采用转基因小鼠骨髓移植的方法研究ACE的来源,并分析创面愈合中期的炎症细胞和一些生长因子。单独从骨髓或皮肤组织中去除ACE后,低ACE组的瘢痕宽度比野生型(WT)对照组小。瘢痕形成过程中,降低ACE水平也降低了TGF-β1的水平。在伤口愈合期间,ACE水平显著影响炎性细胞。在ACE缺乏的小鼠中,TGF-β1和TNF-α的表达减少,而IL-4的表达则没有下降。研究结果表明,在瘢痕形成中的ACE同时来源于骨髓和皮肤组织,去掉它们中的任何一个都会影响炎症细胞和生长因子,并降低TGF-β1的表达,从而降低瘢痕化水平。
谈伟强团队较系统地研究了ACE类降压药的抗瘢痕作用
近5年来,谈伟强团队在2个国家自然科学基金的资助下,对ACE与瘢痕的关系进行了较为系统的研究(图4)。首先,在体外研究了ACE对小鼠成纤维细胞系和ACE基因敲除细胞活性的影响,再通过大鼠和基因敲除小鼠瘢痕模型对ACE在瘢痕形成中的作用进行动物实验。这两部分实验证实了ACE在瘢痕形成中的重要作用。然后,使用转基因小鼠和骨髓移植来研究ACE在瘢痕形成期间的来源问题。此后,谈伟强团队进行了药物筛选、临床调查和各种乳膏的制备和疗效检测等,这些成果正在逐步发表中

图4 ACE类降压药的抗瘢痕效果系列研究
潜在的临床价值
ACEI和ARB有很好的降低TGF-β的作用,这是目前市场上商品所欠缺的!
虽然降低局部TGF-β的表达能改善瘢痕形成已有共识,目前临床上应用的改善瘢痕药物以激素(通用名为“醋酸曲安奈德尿素乳膏”等)、洋葱提取物和肝素(通用名为“复方肝素钠尿囊素凝胶”,商品名为“康瑞保”等;作用主要是抑制炎症介质和软化瘢痕)、积雪甙(通用名为“积雪甙霜软膏”等;主要作用是促进创面愈合)、硅胶片(商品名为“美皮护”、“仙卡”等;主要是压力作用)和硅凝胶贴膜(商品名为“舒痕”、“倍舒痕”、“施可复”等;同样也是压力作用)为主;实验室研究有采用基因转染、抗体等降低TGF-β来抑制瘢痕,但暂时未见成熟产品。谈伟强团队对各种局部抗瘢痕药物和联合用药方法也进行了总结,发表于去年[8]。
ACEI或ARB早已在临床上广泛应用,具有很高的安全性,目前只是老药新用的问题。
ACE类降压药相关的专利和产品
该系列研究已在去年9月份(申请号分别为: 201710842474.4,201710842475.9,201710842496.0和201710842805.4)和今年2月份(申请号分别为: 201810140878.3,201810141108.0,201810141047.8和201810140947.0)申请专利共8份,内容分别为为ACE类降压药和复方ACE类降压药在瘢痕治疗中的应用。为了避免口服方式的副作用,谈伟强团队研制了数十种ACE类乳膏并逐个在动物实验中测试。
谈伟强简介
谈伟强,医学博士、主任医师、博士生导师。研究方向为创面愈合与瘢痕;擅长眼部美容、乳房整形、微创美容、抽脂塑形、瘢痕整复等。1995年考入中国协和医科大学(现清华大学北京协和银河线路检测中心)八年制临床医学专业;先后就读于北京大学(生命科学院医预专业,1995.09-1998.01)和中国协和医科大学(1998.02-2003.07);导师是戚可名教授(前整形外科全国主任委员、北京协和医院院长、北京整形外科医院院长,著名抽脂塑形专家)和乔群教授(前北京协和医院整形外科主任,著名乳房整形美容专家);于2003年7月获医学博士学位。毕业后在银河线路检测中心附属第一医院工作;2014年初赴美国洛杉矶作为访问学者留学一整年;2015年初作为专家在附属第四医院援建并任科室负责人;2018年中起组织人事关系转为银河线路检测中心附属邵逸夫医院整形外科,并继续在浙医四院援建直到完成任务。目前担任中华医学会整形外科学分会瘢痕与再生医学专业学组委员、医学美学与美容分会美容外科学组委员,中国整形美容协会抗衰老分会理事、瘢痕医学分会委员等。以第一或通讯作者发表SCI收录论文29篇,其中TOP(顶级)期刊4篇;参编专著3部;主编《医学实验基本技术》一书于今年7月出版,随后于8月28日受丁香园邀请直播“临床医生如何做科研”(https://e.dxy.cn/broadcast/live/id/4954);已授权国家专利14项,其中发明专利8项,实用新型专利6项,均为第一发明人;已获国家自然科学基金项目3项(负责人),参与国家重点研发计划1项(骨干成员);获得多项人才计划,如浙江省医坛新秀(2015年)、金华市321专业技术人才培养工程(第一层次,2017年)等。
参考文献
1. Tan WQ, Gao ZJ, Xu JH, Yao HP. Inhibiting scar formation in vitro and in vivo by adenovirus-mediated mutant Smad4: a preliminary report. Exp Dermatol. 2011, 20(2): 119-24.
2. 虞渝生, 谈伟强. 瘢痕的形成机制及治疗.《10000个科学难题医学卷》. 科学出版社, 2011: 442-4.
3. Zhou L, Liu Y. Wnt/β-catenin signaling and renin-angiotensin system in chronic kidney disease. Curr Opin Nephrol Hypertens. 2016, 25(2): 100-6.
4. Tang Y, Hu X, Lu X. Captopril, an angiotensin-converting enzyme inhibitor, possesses chondroprotective efficacy in a rat model of osteoarthritis through suppression local renin-angiotensin system. Int J Clin Exp Med. 2015, 8(8): 12584-92.
5. Choi ME, Ding Y, Kim SI. TGF-β signaling via TAK1 pathway: role in kidney fibrosis. Semin Nephrol. 2012, 32(3): 244-52.
6. Thomas JR, Somenek M. Scar revision review. Arch Facial Plast Surg. 2012, 14(3): 162-74.
7. Watkins SJ, Borthwick GM, Oakenfull R, Robson A, Arthur HM. Angiotensin II-induced cardiomyocyte hypertrophy in vitro is TAK1-dependent and Smad2/3-independent. Hypertens Res. 2012, 35(4): 393-8.
8. Fang QQ, Chen CY, Zhang MX, Huang CL, Wang XW, Xu JH, Wu LH, Zhang LY, Tan WQ. The Effectiveness of Topical Anti-scarring Agents and a Novel Combined Process on Cutaneous Scar Management. Curr Pharm Des. 2017, 23(15): 2268-75.




